CDC AS Tegaskan Cacar Monyet Tak Bisa Menular via Udara
25 Mei 2022 14:46 WIB
ยท
waktu baca 2 menit
CDC AS Tegaskan Cacar Monyet Tak Bisa Menular via Udara
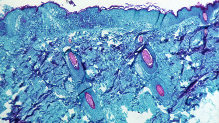
Publik kembali dihebohkan dengan penemuan penyakit baru yaitu cacar monyet. Banyak rumor yang beredar mengenai cacar monyet dapat menular melalui udara. kumparanNEWS

Publik kembali dihebohkan dengan penemuan penyakit baru yaitu cacar monyet. Banyak rumor yang beredar mengenai cacar monyet dapat menular melalui udara.
Menanggapi hal tersebut, Pusat Pengendalian dan Pencegahan Penyakit Amerika Serikat (CDC) membantah rumor yang beredar tersebut.
Dikutip dari CNBC, Rabu (25/5), Seorang pejabat CDC Dr. Jennifer McQuiston menyatakan bahwa penyakit cacar tidak seperti COVID-19 yang mampu bertransmisi melalui udara.
"Ini bukan COVID-19. Penyebaran pernapasan bukanlah kekhawatiran utama. Ini adalah kontak dan kontak intim dalam situasi dan populasi wabah saat ini,โ kata McQuiston
Pihak CDC menyatakan bahwa virus cacar monyet dapat menular apabila terdapat kontak dekat melalui fisik, yaitu seperti sentuhan kulit ke kulit dengan seseorang yang memiliki ruam aktif atau terinfeksi cacar monyet.
Virus cacar monyet juga dapat menyebar ketika menggunakan pakaian atau bahan yang telah digunakan orang yang terinfeksi cacar monyet. Selain itu, seorang pasien yang terkena cacar monyet dapat menyebarkan virus melalui tetes cairan pernapasan, apabila berdekatan dengan orang lain dalam waktu yang lama.
McQuiston menyatakan bahwa penyebaran dari cacar monyet tidak cepat. Ketika melewati orang yang terinfeksi cacar monyet bukan berarti seseorang langsung berisiko terkena cacar monyet.
"Ini bukan situasi di mana jika Anda melewati seseorang di toko kelontong, mereka akan berisiko terkena cacar monyet," ujarnya.
Ahli epidemiologi CDC, Dr. John Brooks menyatakan bahwa ketika muncul lesi pada kulit, maka hal tersebut sumber paling menular dalam penyebaran virus cacar monyet.
Sehingga para tenaga kesehatan harus menggunakan alat pelindung diri seperti masker N95, sarung tangan, dan lainnya agar tidak terjadi kontak langsung dengan pasien yang terinfeksi cacar monyet.
Reporter: Devi Pattricia
