Cacing Parasit Ditemukan di Otak Pria, Suka Makan Daging Babi Kurang Matang
12 Maret 2024 16:04 WIB
ยท
waktu baca 3 menit
Cacing Parasit Ditemukan di Otak Pria, Suka Makan Daging Babi Kurang Matang
Gara-gara suka daging babi setengah matang, otak pria ini terinfeksi cacing parasit. kumparanSAINS

Dokter di AS dibuat kaget setelah menemukan cacing parasit yang bersemayam di otak seorang pria. Penyebabnya karena si pria ini doyan makan daging babi yang dimasak kurang matang.
Dilaporkan di American Journal of Case Reports, pria berusia 52 tahun yang tidak disebutkan namanya itu diketahui punya riwayat migrain. Belakangan, migrain yang dialaminya menjadi lebih sering. Obat yang biasanya diminum juga tidak menyembuhkan gejalanya. Si pria juga merasakan sakit parah di bagian belakang tengkoraknya.
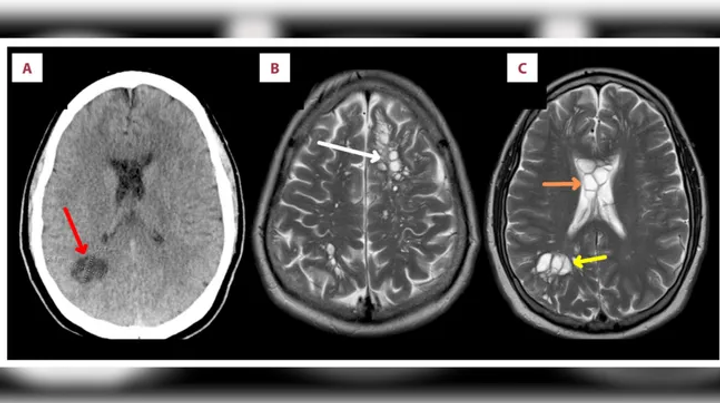
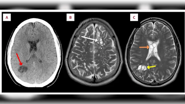
Dia lalu pergi ke klinik. Di sana hasil computed tomography (CT) scan mengungkapkan bahwa pria itu memiliki banyak kista di otaknyaโterutama di bagian saraf yang terletak jauh di dalam organ. Ditemukan pula beberapa kista di sudut kanan bawah otaknya. Karena kondisinya mengkhawatirkan, dokter lantas merujuk pasien ke rumah sakit.
Di RS, pemindaian magnetic resonance imaging (MRI) menemukan adanya kista di bagian depan dan tengah lapisan luar otak pasien, serta pembengkakan. Pria itu didiagnosis mengalami neurocysticercosis yang diakibatkan oleh infeksi larva Taenia solium, cacing pita yang bisa menginfeksi babi.
Parasit ini dapat menginfeksi manusia secara tidak sengaja akibat menelan daging babi belum matang atau terpapar kotoran yang mengandung telur cacing parasit. Mengonsumsi telur atau larva T. solium dapat menyebabkan kondisi yang disebut taeniasis, di mana kista larva cacing menumpuk di usus seseorang.
Namun, dalam kasus kali ini, si pria mengalami kondisi lain yang disebut sistiserkosis, infeksi di mana kista tertanam di dalam jaringan berbeda, seperti otot atau otak. Ketika mereka tertanam dalam sistem saraf, kondisi ini disebut neurocysticercosis.
Di seluruh dunia, antara 2,5 juta hingga 8,3 juta orang diperkirakan menderita neurocysticercosis. Kondisi ini umum terjadi di negara-negara berkembang, terutama di negara di mana babi merupakan sumber makanan utama dengan sistem sanitasi buruk. Namun, karena perjalanan internasional membuat sistiserkosis lebih umum di negara maju, seperti Amerika Serikat.
Neurocysticercosis paling sering menyebabkan sakit kepala dan kejang. Tingkat keparahan gejala biasanya tergantung pada struktur dan jaringan otak mana yang terinfeksi cacing.
Adapun si pria yang mengalami neurocysticercosis tidak pernah bepergian ke luar negeri atau mengunjungi peternakan babi. Dia mengaku cuma doyan makan bacon lunak yang belum matang.
Badan Pengawas Obat dan Makanan (FDA) AS merekomendasikan masak daging babi pada suhu 63 derajat Celcius. Namun, sulit untuk menentukan suhu bacon yang dimasak, karena dagingnya tipis. Yang pasti, jika bacon dimasak sampai garing, seharusnya aman dikonsumsi.
Dokter menduga, pria itu menderita taeniasis karena kebiasaan makan daging babi kurang matang dan kemudian menderita sistiserkosis karena tidak mencuci tangan dengan benar setelah menggunakan kamar mandi.
Setelah mendapat perawatan dengan obat antiparasit dan antiinflamasi, pasien selamat dari infeksi otak. Dia berhasil diobati dan lesi parasit di otaknya berkurang sehingga sakit kepalanya berangsur hilang.
โSangat jarang pasien tertular neurocysticercosis, dan kasus seperti ini di Amerika Serikat dianggap tidak biasa,โ tulis peneliti.
