Синдром затяжного горя: почему некоторые люди не могут смириться со смертью любимого человека?

Спасатель плачет у здания типографии «Фактор-Друк», пострадавшей от российского обстрела 23 мая 2024 года в Харькове, Украина.

Автор фото, Global Images Ukraine via Getty Images

    • Автор, Вероника Сильченко, Диана Курышко
    • Место работы, Би-би-си
  • Время чтения: 8 мин

«Горе вокруг нас настолько велико, что его невозможно избежать. Внезапность, насильственная смерть приводят к появлению этого синдрома. Сейчас такого в Украине очень много», — говорит украинский психолог Оксана Королович.

Для большинства людей пронзительная боль, возникающая сразу после смерти близкого человека, постепенно притупляется, и жизнь понемногу возвращается в привычное русло. Однако так происходит не всегда: для примерно 5% людей боль утраты не ослабевает и с течением времени. Это состояние, которое Всемирная организация здравоохранения в 2018 году официально признала психологическим расстройством, называется синдром затяжного горя (СЗГ).

Ученые считают, что преждевременная и насильственная смерть, особенно если она случилась при трагических обстоятельствах, может способствовать развитию СЗГ.

«Синдром затяжного горя — это когда и через год остаются постоянная тоска и боль. Когда человек долго не может принять утрату, словно застрял в воспоминаниях, когда избегает параллельного процесса жизни», — говорит Королович.

До того как синдром затянувшегося горя был признан отдельным заболеванием, специалисты считали, что его симптомы можно отнести к развившимся в результате трагедии депрессии, посттравматическому или тревожному расстройству. Однако после длительных исследований ученым удалось установить, что хотя у этих болезней есть некоторые сходства, синдром затяжного горя отличается от них по ряду параметров и в большинстве случаев не поддается лечению стандартными для этих расстройств методами.

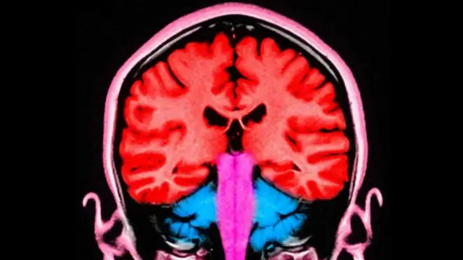
Авторы нового исследования «Как нейробиология объясняет синдром затяжного горя», опубликованного в журнале Trends in Neurosciences, сравнивали активность мозга при СЗГ с активностью, наблюдаемой при других психологических состояниях, и выяснили, что, несмотря на сходства, у людей с СЗГ значительно чаще наблюдаются более выраженные изменения в большем числе нейронных сетей, отвечающих за систему вознаграждения, которая в их случае зацикливается на умершем и не может найти вознаграждение где-либо еще.

Би-би-си поговорила с одним из авторов исследования, Ричардом Брайантом из Университета Нового Южного Уэльса в Сиднее, Австралия, о том, чем СЗГ принципиально отличается от депрессии и тревожных состояний и как полученные данные могут помочь врачам заранее определить, кому из тех, кто недавно пережил утрату, потребуется дополнительная поддержка.

Что такое синдром затянувшегося горя?

«По сути это то же самое, что и горе. Раньше люди думали, что это может качественно отличаться от того, что мы все испытываем в острой фазе после потери кого-то. Но теперь исследования показывают, что на самом деле это одно и то же. Мы просто очень сильно скучаем по этому человеку, — говорит Брайант. — Но что отличает человека с затяжным горем — так это то, что он просто застревает в нем».

Гвоздики лежат на асфальте, где проходят похороны погибшей семьи в Украине

Автор фото, Getty Images

Подпись к фото, Риск развития симптомов затянувшегося горя усиливается, если человек сильно зависел от умершего, а также в случае насильственной или неожиданной смерти
Пропустить Реклама WhatsApp-канала и продолжить чтение.
Канал Би-би-си в WhatsApp

Тут мы публикуем только главные новости и самые интересные тексты. Канал доступен для нероссийских номеров.

Подписывайтесь

Конец истории Реклама WhatsApp-канала

Международная классификация болезней (11-й редакции) и американское Диагностическое и статистическое руководство по психическим расстройствам (пятого издания) описывают синдром затянувшегося горя как расстройство, при котором человек на протяжении более 6-12 месяцев непрерывно тоскует по умершему, желает быть с ним или постоянно поглощен мыслями о нем настолько, что это вызывает глубокую и всепроникающую эмоциональную боль. Он может чувствовать, что жизнь утратила смысл, будто часть его самого умерла, или быть не в состоянии принять смерть, даже зная, что она наступила.

У людей, переживающих синдром затяжного горя, значительно повышается риск самоубийства по сравнению с теми, чья боль утраты постепенно проходит, и, несмотря на различия в проявлениях горя, симптомы СЗГ встречаются у представителей обоих полов и в различных социальных и культурных группах.

«Человеку может быть трудно принять, что его близкого больше нет. Он может продолжать готовить для него еду. Он может, например, оставить его комнату в том же виде, в каком она была», — добавляет Брайант.

Skip Подписывайтесь на наши соцсети и рассылку and continue readingПодписывайтесь на наши соцсети и рассылку

End of Подписывайтесь на наши соцсети и рассылку

Согласно медицинским справочникам, риск развития симптомов затянувшегося горя усиливается, если человек сильно зависел от умершего, а также в случае насильственной или неожиданной смерти. СЗГ чаще встречается после смерти супруга/партнера или ребенка.

По мнению украинского психолога Оксаны Королович, отсутствие возможности попрощаться также может привести к синдрому затяжного горя.

«Тело моего мужа привезли в закрытом гробу. Его опознали по ДНК. Как я могла с ним попрощаться? Я его не видела», — говорит она.

Оксана Королович, молодая длинноволосая женщина, сидит в полуоборота на диване, подперев голову рукой

Автор фото, Оксана Королович

Подпись к фото, Муж Оксаны погиб на войне. Сейчас она много работает с горем других украинских женщин и разработала обучающую программу того, как поддерживать людей, переживающих утрату

Королович — вдова, ее муж погиб на войне. Она много работает с темой горя с другими женщинами в Украине и разработала обучающую программу для психологов о том, как поддерживать людей, переживающих утрату.

«Есть еще многочисленные случаи, когда есть свидетели гибели, когда побратимы говорят, что человек погиб, а тела нет или не было возможности его вывезти. И происходит расщепление — есть какая-то часть, которая постоянно сидит на берегу и ждет», — говорит она.

На данный момент в Украине около 90 тысяч считаются пропавшими без вести. По словам Королович, иногда, чтобы провести похороны, людям приходится ждать результатов ДНК-экспертизы в течении нескольких месяцев и даже лет.

«Затяжное горе — это не слабость. Это любовь, которая не нашла нового места в жизни. И не произошла трансформация. Часть „я — жена“ умерла, родилась часть „я — вдова“. А у нас в обществе до сих пор говорят: „Ты — жена погибшего героя“», — говорит Королович.

«Вы патологизируете любовь»

На протяжении многих десятилетий ученые и врачи не хотели признавать затянувшееся горе психологическим расстройством из-за опасений, что это может привести к тому, что болезнью начнут считать естественную человеческую реакцию на утрату.

В интервью New York Times профессор социологии медицины Холли Пригерсон, работавшая над включением СЗГ в список диагностируемых расстройств, рассказала, что хотя исследователи считали, что они могут диагностировать СЗГ уже через шесть месяцев после потери близкого человека, Американская психиатрическая ассоциация «умоляла и просила» сформулировать диагноз осторожнее, через год после смерти — чтобы избежать негативной реакции общественности.

«Обеспокоенность вызывало то, что общественность будет возмущена, потому что все испытывают горе. Даже если их бабушка умерла шесть месяцев назад, они все еще скучают по ней, — сказала она. — Это выглядит так, будто вы патологизируете любовь».

В итоге в США заболевание попало в американское диагностическое руководство только в 2022 году и, после появления новости о нем в мировых СМИ, действительно вызвало ожесточенные споры.

Противники этого решения утверждали, что такая диагностическая классификация превращает естественный и необходимый процесс в медицинскую проблему и может привести к стигматизации и необоснованному назначению лекарств людям, переживающим горе.

Некоторые обвиняли ученых в том, что те сводят человеческое существование к медицинской диагностике.

Вместе с двумя другими коллегами Пригерсон опубликовала работу по развенчанию мифов о синдроме затяжного горя под названием «Синдром затяжного горя: корректировка когнитивных искажений на основе научных данных». В ней ученые подробно ответили на каждый из аргументов своих оппонентов, делая упор на том, что критика в адрес СЗГ зачастую совпадает с критикой диагностики любых других психологических расстройств, а страхи часто преувеличены.

«Это [расстройство] случается редко. Очень сложно попасть под все наши критерии диагностики, — говорила она в интервью британской газете Guardian. — У большинства людей через шесть месяцев наступает спад, но для людей с синдромом затяжного горя потеря как будто произошла вчера; они все еще находятся в состоянии шока и неверия и не знают, как им теперь жить дальше… Как будто кто-то выбил землю у них из-под ног и они застряли в этом состоянии мучительной скорби».

«Горе, скорее, похоже на зависимость»

Брайант уверен, что время, когда этот диагноз считался спорным, уже прошло и сегодня он все больше переходит в категорию общепринятого, поэтому его исследование сфокусировано на нейробиологии синдрома затяжного горя.

Он рассказал, что участников исследования попросили вспомнить своих умерших близких или посмотреть на их фотографии во время процедуры сканирования мозга, чтобы выяснить, какие именно его части активизируются. В результате ученые обнаружили, что у людей с СЗГ значительно чаще наблюдаются изменения в нейронных сетях, отвечающих за систему вознаграждения.

По его словам, самое заметное отличие между тревогой, ПТСР и горем, в том, что в то время как первые в значительной степени характеризуются избеганием угрозы и тех вещей, которые могут напугать или напомнить о ней, то когда речь заходит о горе, все выглядит будто наоборот.

«Это больше похоже на то, что мы называем „аппетитом“, или, скорее, это имеет определенные сходства с зависимостью, когда люди, стремятся к тому, чего они хотят, думая: „Я хочу, чтобы этот человек вернулся“, — объясняет он. — Люди постоянно думают о них [умерших] и ищут напоминания, поэтому они продолжают готовить для них ужин, выполнять привычные ритуалы и пытаться напомнить себе, что они все еще с нами, потому что очень не хотят отпускать их».

Группа женщин держит плакаты с портретами и поет гимн Украины, соблюдая минуту молчания у мемориала в честь украинских и иностранных бойцов в «День защитников» на Майдане Независимости в Киеве 1 октября 2024 года.

Автор фото, AFP via Getty Images

Подпись к фото, Королович считает, что для проживания горя очень важны ритуалы и что нужно разрешить себе и близким горевать

Брайант также говорит, что война способна значительно усугубить ситуацию.

«Несколько лет назад мы провели исследования среди сирийских беженцев во время войны и обнаружили гораздо более высокие показатели синдрома затянувшегося горя, потому что люди пережили насильственную смерть близких. Сейчас мы проводим похожее исследование в Украине и снова ожидаем увидеть высокие показатели по той же причине», — говорит Брайант.

Он и его коллеги опросили 3 000 взрослых и детей по всей Украине и сейчас анализируют полученные данные. В дальнейшем они планируют продолжить эту работу программой лечения детей, переживающих утрату близких.

«Возвращаясь к вопросу о необходимости самого диагноза: многим людям после тяжелой утраты назначают антидепрессанты, но часто их состояние не улучшается, потому что не устраняются истинные причины проблемы, — подчеркивает он. — И возможность сказать: посмотрите, у этих людей на самом деле нет депрессии, у них синдром затяжного горя — позволяет предложить этим людям более подходящее лечение».

По словам Брайанта, в данный момент самым эффективным способом лечения синдрома затянувшегося горя является когнитивно-поведенческая психотерапия (КПТ). КПТ — это вид психотерапии, с помощью которой человек учится распознавать и менять мысли и модели поведения, которые мешают ему справиться с трудностями.

Брайант говорит, что такая терапия работает для примерно двух третей пациентов. На вопрос о том, есть ли какие-то способы предотвратить развитие СЗГ, он отвечает, что пока никто ничего подобного не исследовал в большой степени потому, что ученые не хотят нарушить естественный процесс принятия утраты.

«В других ситуациях, таких как посттравматическое стрессовое расстройство и т. д., мы проводим раннее вмешательство. То есть есть вещи, которые мы можем сделать, например, в первый или второй день после травмы, чтобы попытаться предотвратить ее последствия, — объясняет он. — Когда вы теряете кого-то, вам приходится пройти через процесс приспособления к тому факту, что этого человека больше нет. Людям необходимо пройти через этот процесс. И важно то, что в острой фазе, например, в первую или вторую неделю после потери, мы на самом деле не знаем, мы не можем увидеть ничего, что действительно отличает людей, которые будут испытывать затяжное горе, от тех, кто не будет. Поэтому если бы мы решили что-то делать на раннем этапе, мы, вероятно, лечили бы 90% людей, которые в этом не нуждаются, потому что они все равно смогут адаптироваться».

Королович считает, что для проживания горя очень важны ритуалы и что нужно разрешить себе и близким горевать.

«То, что в Украине есть традиция минуты памяти каждый день в 9:00, когда все останавливаются и чтят память минутой молчания — это важно. Дайте себе время погоревать. Нам нужно работать с реальностью, в которой происходит смерть, — говорит она. — Мы все переживаем большое горе. Мы никогда не вернем то, что было разрушено с 2022 года. Это вопрос осознанности — где мы сейчас. У нас ежедневно гибнут люди. Это отражается на всех нас. Это поле боли и скорби вокруг».